矯正の抜歯、非抜歯
![]() |
| 矯正治療の目的の“ひとつ”は、こういう審美的側貌を作る事にある。
矯正の抜歯、非抜歯の選択が審美におよぼす影響は、絶大である。 (イラストは、口元を敢えて白人系にしてある。日本人は人種的に、上下口唇がE-lineに対し、やや前突が許容される→“ハナの差”なのだ!) |
矯正治療には、抜歯、非抜歯と言う、避けて通れない選択がある。
(いわゆる必要十分条件ではないし、そもそも数学的に、キチンと解答がでないのでヤヤこしいのだ)
もちろん非抜歯矯正を心がけているが、やはり抜歯の選択をせざるを得ない事は、ある。さらに、判断の幅が、カミソリの刃一枚のような、ボーダーライン症例も、少なくない。
誰であろうと、体の一部(サイフの中身もだ)を失うのは辛かろうが、合理的根拠はある。
まず、歯並びのガチャガチャが限度を超えればダメである。
![]() |
| Dodge this! さすがにコレは無理、小臼歯2本の抜歯で対応。 |
![]() |
| 抜歯スペースの閉鎖、約8ヶ月でこの状態となる |
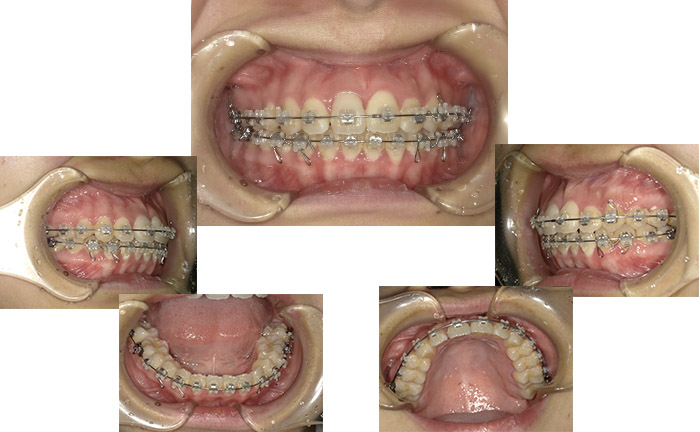
24歳女性/A.L.D−9.5ミリ。上下4本の、第一小臼歯の抜歯矯正を選択する事になった。

SNA90.1、SNB81.4、ANB−1.3、faicial angle91.7、Y-axis58.3、F MA58.3、SN−MP32.9、gonial angle120.9 o.p to sn7.7、U1to sn112.9、IMPA83.8、interincisal angle130.4、u1 to A-pog7.3mm、l1 to Apog3.7mm、OJ4.3、OB2.9

パッシブセルフライゲーションシステムと、
スライディングメカニクスの応用による、18ヶ月後の状況。
3人掛けのイスに、お行儀よく座るためには、4人目には遠慮してもらわなければならないからだが、この他の根拠は、主なものでも10かそこらはある。
その中のひとつでもあり、日本人矯正に、抜歯の頻度が多くなる最大の原因でもあるのだが、日本人には、白人とは違う奥行きのない骨格や、オトガイの引けた(アゴが引っ込んだ)お顔という、人種的特徴を持つヒトが多い事実がある。
レイシストならずとも、欧米の新聞に描かれる日本人の似顔絵には、苦笑しつつも納得する。ただし、こういうお顔は、そもそもブザイクなのだろうか。
![]() |
| ハプスブルク家のカルロスT世、 立派なアゴをされております。 (外科矯正が必要です) |
美醜の感覚は、つまるところ個人的センスの問題だし、美男美女の基準も、国や文化や、時代と共に移ろい行くものである。
浮世絵の美男美女を思い浮かべて欲しい、また、中世ヨーロッパのハプスブルグ家など、代々、当主が反対咬合であり、その特有な顔つきが、高貴さの象徴とされた時代もあった。
そんな中、今日び、ファッション雑誌のモデルは、Caucasian(白人)的容貌をもつヒトか、白人男女そのものである。金髪に染めたりしている日本人の若者なども多く、アゴがくっきり突き出た白人的容貌がトレンディなのは否めない。
実際、現代の日本国では、こういう容貌は、社会的に有利である。
![]() ![]() |
![]() |
藤○ま○とさんや、○海○希さんに、 似ておられます。 (抜歯矯正むきのお顔です) |
ミケランジェロのダビデだが、典型的白人顔である。 奥行きのある頭蓋の骨格、鼻が高く、 オトガイは くっきりと突き出しており、口元が引っ込んでいる。 こういうヒトは非抜歯矯正が可能な事が多い。 |
つまり、日本人は、弱点である引っ込んだアゴの改善プラス歯並びの改善を必要とするダブルハンディがあり、抜歯矯正が多くなるのだ。(60〜70%が抜歯の適応になるとの統計もある)
抜歯矯正からは、アゴを突き出したような容貌が作りやすく、無理に(と言えるかどうか)非抜歯矯正すると、アゴは更に奥に引っ込み、お顔は長くなって、口元に緊張もでかねないからである。(ケースバイケースである、念のため)
非抜歯矯正に重きを置く先生の中には、こういうお顔が、本来の日本人の美だと称するムキもある。勿論、間違っているとは言えないが、当節、例えば、異性に対するアピ−ルとしてはイマイチのような気がする。
| before | after |
![]() |
![]() |
| 成人/♀CLI Bilabial protrusion with lip strain Chin およびAnchorage controlのシビアなケース。 |
Extraction denture control case(抜歯症例) 治療期間2yearsであった。 側貌の良好な改善が認められる。 |
![]() |
| before |
![]() |
| 日本人に典型的な両顎前突症例。矯正治療にあたり、オトガイを、時計回りに後方回転させないで、前歯を後方に移動するのがカギである。 |
| after |
![]() |
| 上下4本の第一小臼歯の抜歯を行った。著しいDolico faicial patternのため、可能な限り弱い矯正力の適用、口唇の筋力を利用した前歯の後方移動などのメカニクス上の配慮を行った。 |
ともあれ、患者の皆さんには、少なからぬ時間とお金をかけた結果が、(抜歯非抜歯はともかく)十分それ(Vogue→流行)に見合うものである治療をお勧めしたい。
童話やおとぎ話の妖精だって、願いを叶える時、必ず条件(大抵、ロクでもないが)をだすのだ。美男美女になれるのなら、例え抜歯も、カエルと結婚させられるよりマシであろう。
| 【抜歯矯正の選択理由のひとつ、上下顎の対咬関係】 | ||
|
|
|
| 咬合時の不定愁訴の訴え、いわゆるTMDである。 | 初診時のCRマウント、筋肉のストレスがあるため、こんな感じになる事が多い。 | スタビライジング型スプリント療法を試みる事になった。 |
|
|
|
| スタビライジング型スプリント装着時。 | はたして、この咬合で不定愁訴は消え、顎位も再現性のある、安定したものとなった。 | 上顎左右第一小臼歯2本の片顎抜歯にて、U級仕上げを目標に矯正治療中。 |
![]() 約1年の矯正治療で、COとCRがマッチした、良好な咬合状態が得られた。 |
歯牙の先天欠如などで、やむ なく行うイレギュラーな抜歯。
Three incisors case(下顎前歯の1歯欠損)の解決に、上顎左第一小臼歯1本の抜歯 を行った症例。
| before |
![]() |
14歳女子、上顎前突に下顎前歯の1歯先天欠損をともなう症例 |
after |
![]() |
右側非抜歯、左側上顎第一小臼歯の抜歯による片側II級仕上げとした。左下犬歯を側 |
| before |
![]() |
after |
![]() |
| 【抜歯、非抜歯のボ−ダ−ラインと思われるケ−ス】 |
| before |
抜歯、非抜歯のボーダーラインケース。(11Y/♂) |
![]() |
| 非抜歯にて対応(なんとかなった)。ハリガネ撤去直後だが、 ブラシングが甘く、歯肉炎ぎみである。 |
| after |
| before |
![]() |
| ○○君の初診時。上下口唇がやや緊張を伴った前突,年齢を差っ引いてもアゴが引っ込んでいる。 もともとMesio‐Facialだが、口呼吸その他の影響で、お顔の成長がアゴが引っ込む方向に変化しつつある。 |
![]() |
| 典型的なガチャ歯、T.A.L.D(歯の幅とドテの幅の不調和)がマイナス9mmだが、 “総合的”に非抜歯のメはある。 |
| after |
![]() |
| 非抜歯治療のためFXは1゜Openした(Holdaway Angle18.゜)。 口唇の前突も残っているが、今後も矯正の範囲で、成長のコントロールは続ける。 お鼻は高くなるであろうし、アゴも立派になってくれると思う。 |
![]() |
| 治療期間10ヶ月であった。Standard Edgewiseを用いたが、 時間的にはDamon Systemと遜色ないと思われる。 |
![]() |
| 1年後の勇姿。努力は報われる(事もある)。 |
【矯正の非抜歯の工夫そのひとつ、IPR】
![]() |
| IPRとは、特殊なバーで歯の間をわずかにすり減らす手法である。有効に使用 すれば抜歯の確率は大幅に減らす事ができる。 |
| 14歳の女性、非抜歯で矯正したいとの希望。 |
![]() |
| 約16ヶ月後、歯列拡大とIPR併用にて、非抜歯で、レベリングが大体終わりかけている。 |
U級不正咬合改善に、上顎大臼歯の遠心移動をおこない非抜歯矯正に繋げるテは、私が矯正を習い始めた昭和60年ころ、いの一番に教わったもののひとつである。デバイスもヘッドギアから始まり、Dr.Wilsonの3Dモジュール、Dr.GreenfieldのG.M.D、マイクロスクリューの応用と、いろんなコースで教えをうけたが、講義中は大半の時間をヒルネに使ったこともあり、受講料の払い方以外、内容をいっぺんで理解できたためしはない。やむなく、同じコースを複数回受講したこともある。講師の大センセイはさぞあきれたであろうが、こっちも死ぬる思いであったのだ。
敢えて言えば、私の最大の師は、不出来な私を信じておかかりになられた、長年の患者さんたちである。PCで古い患者さんの写真など見ると、さすがに良心の呵責を覚えるほどの所業は見当たらないが、今ならもっとよく治せるのになあと思うことはヤマほどある。
こうして自信がない箏にかけては自信があるという、私のパーソナリティが確立されてきたのだ。
矯正界を俯瞰すれば、診断は2Dのセファロから、CTによる3Dボーンハウジングの評価の時代となり、これにリンクした恐るべきAIや3Dプリンターの、治療への応用発展もめざましい。同時に各Dr.の個人的努力、精進に基づく旧来の矯正の技術は、間違いなく駆逐されつつある。究極的に歯列矯正は、いかなる歯医者も大センセイと同等の水準で施術できる、ロボット式自動治療となろう。鉄人28号の愛読は無駄ではなかった。ついに私の時代が来るのだ。
![]() |
| ペンヂュラム装置 |
|
| リンガルアーチとマイクロスクリューの併用 |
| before |
![]() |
| 25Y女性女性〇〇さん。中程度の叢生をともなうU級1類上顎前突。非抜歯矯正のご希望だが、幸い下顎の歯列のトラブルは大した事はない。上下歯列の対咬関係から、上顎後側方歯の遠心移動で治療可能である。 |
| 16M後 |
![]() |
| 仕上げの段階だが、左側方歯群の咬合の緊密化がまだ不十分である。 |
![]() 初診時14Y男子のU級1類上顎前突。バイトの深さから、成長が残ってなければ厳しい症例。抜歯矯正を選択したら大苦戦必至である。幸いジャスパージャンパーというデバイスにて 成長を引き出すことができた。 |
| before |
| 18歳女性、非抜歯でなんとかならないかとのことで来院。幸い、諸般の事情がおりあい、非抜歯矯正に踏み切った。 |
![]() |
| after |
| 約16ヶ月の治療結果。軽度の顔面の骨格性非対称があり、歯列もその面影がある仕上がりとなった。 |
![]() |
非抜歯矯正という言葉には、蠱惑の響きがある。
抜歯、非抜歯のボーダーラインケースなら、非抜歯治療にサイコロのメを賭けるのは人情である。うまくいけば、まさにハッピ−エンドだが、浮世はそう甘くない。
ならば、うまくいかないと“フンギリ”がついた段階で、はじめて抜歯矯正にシフトするなど、一見、合理的だが、時間その他のロスは無視できない。
| VCよりかかっていただいた○○さん(♀)、14Y時。 初診時はCLUの臼歯関係であった、第1期治療でCLTにしたが、その後、骨格、習癖など、FXが開大する成長となり、第2期治療において抜歯を勧めたものの、許可は得られなかった。 非抜歯での矯正治療終了時、オトガイが引っ込んだ感じの側貌になった。 |
![]() |
| 同、お口の中。非抜歯で、一応、歯列は整ったが、 下顎前歯が過度に唇側拡大された感じである。 |
| Dolico facialの骨格でもあり、審美性の改善のため、抜歯での再治療を勧め、許可がおりたので、上下第一小臼歯4本を抜歯して、再度、フィニッシュした。 側貌に著明な改善が認められるが、結局、逡巡の期間を含め、2年、余分な時間がかかった。 |
![]() |
| 同、抜歯でのお口の中。 下顎前歯Mchorris angle90゜に改善。 |
![]() |
| 呼吸城下の機能障害大。溢れるばかりの舌が、抜歯矯正の回避を訴えている。 |
![]() |
| 約10ヶ月後の状況、非抜歯矯正完遂のメドがたったころ。 本人が、呼吸嚥下がラクになったと申告あり。 この症例はわかりやすい気がするが、呼吸の機能評価は、ようするに歯医者の専門外であるので、あまり大層な事は言えない。 とはいえ、仕上がりの形態を度外視すれば、口腔の容積を増す非抜歯治療が無難な事が多い、気がする。 |

約2年後の状況。舌癖を考えればこの仕上げは妥当であろう。
| before |
| お鼻より下がプアな印象を受ける。 仮に抜歯矯正にすると、お鼻から下の横顔は、更に陥凹するであろう。(17Y/♀) |
![]() |
| ガチャガチャ度そのものはー3mmと、たいした事ない。 |
| after |
よりチャーミングなフンイキとなった。 |
![]() |
初診時の軟組織側貌から非抜歯で対応。 |
| before |
![]() |
![]() |
歯列自体のトラブルは、一見、大した事なさそうだが、こういう機能性の歯列不正は奥が深い。 |
after |
![]() |
![]() |
ハリガネは外れたが、これからが本番とも言える。 |
| 【典型的な成長期の非抜歯矯正】 |
| before |
9 Y/♀CLUdiv.2 |
![]() |
| いつもニコニコの○○さんである。 長年に渡り、私のオフィスのマスコット的存在でもあった。 |
| after |
15Y(治療終了時) |
![]() |
都合、6年間の矯正にお付き合いいただいたが、 |
| before |
![]() |
![]() |
初診時、成長を利用した2期治療の計画を立てた。 上下顎の拡大により、機能と成長の阻害因子が是正され、永久歯交換までに、CLUの改善と咬合の挙上がなされる事を期待した。 |
after |
![]() |
![]() |
メデタシ、メデタシ |
上に戻る↑

















































